Plaque and tartar often increase the activities of bacteria in your teeth, which eventually can cause decay or cavities. A cavity occurs when the acid in your mouth wears away your tooth enamel, causing holes in your tooth. This makes it difficult to chew with the affected teeth and increases your sensitivity to hot or cold food and drinks.
Your dentist may recommend tooth fillings to seal the hole and restore your teeth’s health. Elgin Smiles Dental Care offers dental fillings in Elgin, TX, to help treat cavities and fix minor chips and cracks in your teeth. While there are a variety of fillings you can select to restore your smile, our dentist in Elgin, Dr. Fahmy, will recommend the most suitable one for you.
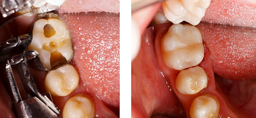
What To Expect From Our Dental Filling Procedure
Your dental fillings may be made from amalgam or tooth-colored options like porcelain or composite resin. Notwithstanding the material used, the procedure for dental fillings is usually straightforward. Dr. Fahmy will first administer a local anesthetic to numb the area. This anesthetic helps you avoid pain during the procedure without putting you to sleep.

Once the treatment area is numbed, our dentist will remove your diseased tooth structure and fill in the cavity. Since you’ll be awake during the entire procedure, you’ll be able to interact with our dentist to feel more comfortable.
Dr. Fahmy may give you some pain relievers to mitigate any soreness you might experience after the treatment. It’s also important that you are careful and try not to eat hard or sticky foods immediately after the procedure.
Benefits of Dental Fillings
Dental fillings are good restorative treatments for treating existing tooth decay and reducing future damage. They are easy to maintain and durable for at least 10 to 20 years and are also great for:
- Restoring chewing function
- Preserving your natural tooth structure
- Enhancing the appearance of your teeth
- Strengthening weakened teeth

Easily Seal Holes in Your Teeth with Dental Fillings in Elgin, TX
At Elgin Smiles Dental Care, we believe cavities can be treated and prevented with great oral hygiene, care, and treatments. That’s why we offer dental fillings in Elgin, TX, to fill in cavities and fix mild chips and cracks in the teeth.
Whether it’s your teeth or that of your child, our dentist in Elgin, TX, Dr. Fahmy can help restore the function and structure of your teeth with dental fillings. Visit our dental office today or schedule an appointment to address your dental concerns and create a personalized cavity treatment for you.